Logotyp
Zahnarzt Rupert Pichler, Ahornweg 3, 83112 Frasdorf, Tel. 08052/99114
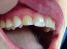
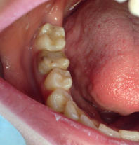
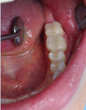
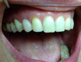
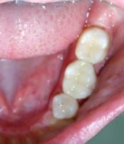
Cerec Vollkeramikrestaurationen:
vorher     ------------>    nachher                             vorher    ---------->    nachher
Umformung eines Eckzahnes in einen Schneidezahn
nach kieferorthopädischer Regulierung
  Umformung eines Milchzahnes bei Nichtanlage
Home Home Leistungen Fotogalerie So erreichen Sie uns / Notdienst Impressum
des bleibenden Zahnes
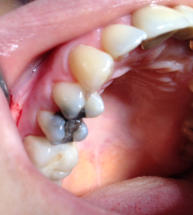
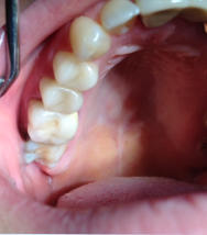
Restaurationen mit Compositematerial
in Schmelz-Dentin-Adhäsiv-Technik:
Fotogalerie